top of page


2月の休診日など
2月第1土曜日の7日は休診です。 2/11(水)は「建国記念の日」で祝日休診です。 2/23(月)は「天皇誕生日」で祝日休診です。 2/22(日)は、写真のように「東北農民管弦楽団」の第10回定期演奏会が、酒田市の希望ホール開催されます。「左手のピアニスト」として知られている舘野泉さんと、御子息で山形交響楽団ヴァイオリン奏者のヤンネ舘野さんが出演されます。チケットは希望ホール、または院長にお問い合わせください。
1月23日


12月の診療と冬休みについて
12月になりました。 第1土曜日の12/6は休診です。 今年は12/27(土)まで通常診療し、12/28から冬休み体制です。 正月休みは1/4(日)までで、新年1/5(月)からは通常通りの診療を致します。 (写真は、11/24にクリニック内のジョンダーノ・ホールで開催した「晩秋のバロック音楽会」から院長がフラウトトラヴェルソで参加した、バッハのトリオソナタのシーンです)
2025年12月1日


脳梗塞による視野障害
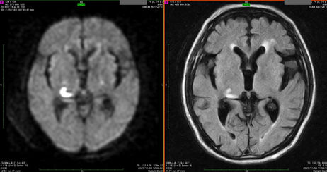
本日、市内の眼科医院から紹介された患者さんは、「左下同名1/4盲」という視野障害があり、脳MRIで右側の視放線から外側膝状体の一部にDWIという撮像方法で急性期の脳梗塞が示された。写真の白く強く光ったように見える部分である。 眼科の視野計測だけでは、脳梗塞の判断はつかないが、MRIを撮って初めて診断がつき、脳梗塞の治療を始めることができた。
2025年11月4日


酒田フィルハーモニー管弦楽団定期演奏会
2025/11/16(日)、酒田市民会館希望ホール「大ホール」にて 表記演奏会があります。院長も出演します。鶴岡出身のプロフルーティスト 鎌田邦裕さんのソロでフルート協奏曲(ライネッケ)もあります。 メインはブラームスの交響曲第4番です。
2025年10月23日


開頭手術の痕
22年前に当時の県立日本海病院で院長が執刀したクモ膜下出血の患者さんが、入所中の施設のベッドから転倒し頭部を打撲したと来院。 頭部レントゲンと脳MRIを撮影しましたが、外傷による問題はありませんでした。22年前のクモ膜下出血と手術の痕跡の残る脳MRIよりも、開頭して傷を閉じ...
2025年9月4日


9月の休診日について
9/6(土)は第一土曜日のため休診。 9/15(月)敬老の日、9/23(火)秋分の日、の各祝日も休診です。
2025年9月1日


8月の休診日について
山形はさくらんぼ最盛期。知り合いのさくらんぼ農家から素晴らしい佐藤錦と紅秀峰が届きました。 8月の休診日は、第1土曜日の8/2と、お盆休みとして8/10~14を休診とします。8/15(金)、16(土)は通常診療致します。
2025年6月26日


学会出張で休診です
6月27日(金)、28日(土)は日本脳ドック学会総会に出席、演題発表をする為、休診致します。6/30(月)は普通に診療します。
2025年6月26日


6月の予定と休診日
・6/15(日)、鶴岡市のタクト鶴岡にて、写真のようなコンサートに酒田フィル団員として出演します。 ・6/27,28、東京で第34回日本脳ドック学会総会が開催されますが、院長は初日6/27に 演題発表があります。そのため、6/27,28の2日間を休診します。
2025年6月10日


4月後半GWから5月の休診について
4月は「昭和の日」4/29(火)は休診です。 5月は、5/1(木)と5/17(土)を学会出張などのため休診します。 その上にGWは5/3,4,5,6とカレンダー通り休診します。 更に、5/20(火)の午後は、「酒田祭り」のため休診します。...
2025年4月9日


開院記念日。3月3日。
2008年3月3日月曜日に開院し、本日で18年目を迎えます。お祝いのお花をありがとうございました。 これまで色々ありましたが、ここまでやってこれたのは、家族とスタッフのおかげ。そして関係各位と患者さんのご理解に感謝申し上げます。...
2025年3月3日


3月の休診日について
3/1(土)は、第一土曜日のため休診します。 3/20(木)は、祝日「春分の日」のため休診です。 (3/16(日)は酒田フィルハーモニー管弦楽団のファミリーコンサート)
2025年2月26日


新型コロナワクチン接種補助の期間延長について
新型コロナウィルスに対するワクチン接種は、65才以上の方々や60〜64歳で重症化リスクの高い疾患をお持ちの方を対象に、自治体からの補助が一人当たり11800円出ています。 当初年内一杯だった自治体からの補助が、新年令和7年の1月末まで延長されました。上記の方々は自己負担約3...
2024年12月24日


年末年始の休診日について
2024(R6)年は12/28(土)まで診療し、29(日)から冬季休業となります。 2025(R7)年は1月3日(金)まで正月休暇となります。 1月4日は第1土曜日のため休診。1月5日は日曜日で休診です。 よって、新年は1/1~1/5まで休診となります。...
2024年12月9日


12月の休診日
12/6(金)、 7(土)院長出張のため。 12月29日(日)から冬季休暇となります。
2024年12月9日


11月の休診日
予定の休診日(第1土曜日、日曜・祝日)通り休診いたします。祝日は11/4(月)と11/23(土)です。
2024年11月4日


クリニックの広告の変更
HP刷新のため旧のURL https://kuroki-nc.jp から、現在のhttps:// www.kuroki-nc.com に変わりましたので、広告原稿も変更しました。 また、問い合わせのメールアドレスinfo@kuroki-nc.jpも使えなくなったので、新たな...
2024年10月9日


ワクチン(インフルとコロナ)接種開始します。
10/1から、季節性インフルエンザと新型コロナのワクチン接種が始まります。 コロナワクチンについては、写真の厚労省のサイトや、自治体からの広報、HPなどでご確認ください。
2024年9月27日


10月の休診日について
・10/5(土)第一土曜日 ・10/15(火) 午後 と10 /16(水) 院長が学会出席のため休診。10/15の 午前中 は診療します。 ・10/26(土)、10/28(月) 国民文化祭岐阜「オーケストラの祭典」(於:高山市)に出席するため休診
2024年9月18日


R6年9月の休診日
9月7日(土) 9月14日(土) その他の日曜,祝日は予定通り休診です。
2024年9月10日
bottom of page

